티스토리 뷰

치매가 오는 원인은 80~100가지에 이를 정도로 매우 다양하다. 알츠하이머병 같은 퇴행성 질환 외에 일부 질환은 치료가 가능하기에 정확한 진단명을 확인하기 위한 다양한 검사를 실시하게 된다. 흔히 하는 검사는 검사실검사(진단의학검사), 뇌영상검사이다. 뇌영상검사는 대상자의 개별 상황에 따라 선택한다. 그러나 면담에서 확인되는 임상 증상만으로 뇌영상검사 촬영 여부를 최소한으로 결정하는 경우 치료 가능한 초기 치매를 놓칠 수 있기에 비용부담 여부만 놓고 검사를 결정하는 것이 쉽지 않다.
목차
- 치매 진단의학검사
- 치매 유전자검사 (생물학표지자)
- 치매 뇌영상검사 : 뇌영상검사가 필요한 사람, 뇌영상검사 종류, 뇌영상 소견에 따른 치매 진단
치매 진단의학검사
진단의학검사는 혈액검사(전체혈구계산(CBC), 간기능검사, 신장기능검사 등), 소변검사, 심전도, X-ray검사를 실시하여 갑상선기능, 비타민 전해질 불균형, 매독혈청검사(VDRL) 등을 확인한다.
치매 유전자검사 (생물학표지자)
치매 가족력이 있는 경우 유전되는게 아닌지 걱정하는 분들이 있다. 유전자검사는 치매를 조기에 진단하고 예후를 알 수 있는 방법으로 활용하기 위한 연구가 증가하고 있다. 대표적인 유전자 검사는 아포지질단백질 E (ApoE)이 있다. 토르로 활동하며 전 세계적인 사랑을 받은 배우 크리스 헴스워스는 부모에게서 이 유전자를 받은 것으로 보도되기도 하였다. 그 결과로 인해 크리스 헴스워스가 기억력이 나빠지고 있는 것 같다며 플라세보 효과인 것 같다고 밝히기도 하였다. 아포지질단백질 E는 중추신경계에 존재하는 것으로 신경세포막 발달과정과 손상 후 유지 관리를 위한 콜레스테롤을 조절해 주는 역할을 한다. E4 대립 유전자 수가 증가할수록 치매 위험성이 증가할 수 있다. 알츠하이머병 위험인자로 꼽히기는 하지만 유전자를 가지고 있다고 해서 모두가 치매로 진행되는 것은 아니다. 유전자검사 비용은 병원 규모, 건강보험 급여 적용 등에 따라 다르며 약 10만 원 내외이다.
치매 뇌영상검사
뇌영상검사 필요한 사람
뇌영상검사는 치매 진단에 중요한 검사 중 하나이다. 알츠하이머병, 혈관성치매, 가성치매를 구분하기 위해 시행한다. 최근에 인지기능 저하 증상을 보인 경우, 최근 머리 와상, 언어장애, 두통, 요실금, 보행실조, 국소 신경계 이상 증상 등이 있을 경우 검사가 필요하다.
뇌영상검사 종류
뇌영상검사는 뇌 모양이나 구조를 확인하고, 혈관, 혈류량 등 기능상태를 볼 수 있다. 검사 종류는 자기공명영상(MRI), 컴퓨터단층촬영(CT), 양전자방출단층촬영(PET), 확산텐서영상(DTI) 등이 있다.
1. 컴퓨터단층촬영(Computed tomography : CT)
컴퓨터단층촬영(CT)은 촬영 시간이 10분 정도로 짧고 비용이 비교적 저렴하다. MRI 촬영을 하지 못하는 대상자에게 활용할 수 있다. 뇌종양, 뇌혈종, 뇌수두증 등의 수술이 필요한 뇌병변의 경우 CT 촬영으로 소견을 확인할 수 있다. 그러나 해상력이 낮고 뇌의 미세한 변화를 구별하는 것은 한계가 있다. CT 촬영 비용은 병원 규모, 건강보험 급여 적용 등에 따라 다르며 약 5만 원~35만 원 정도이다. 알츠하이머병의 국소적인 뇌 위축 확인은 추가 검사가 필요할 수도 있다.
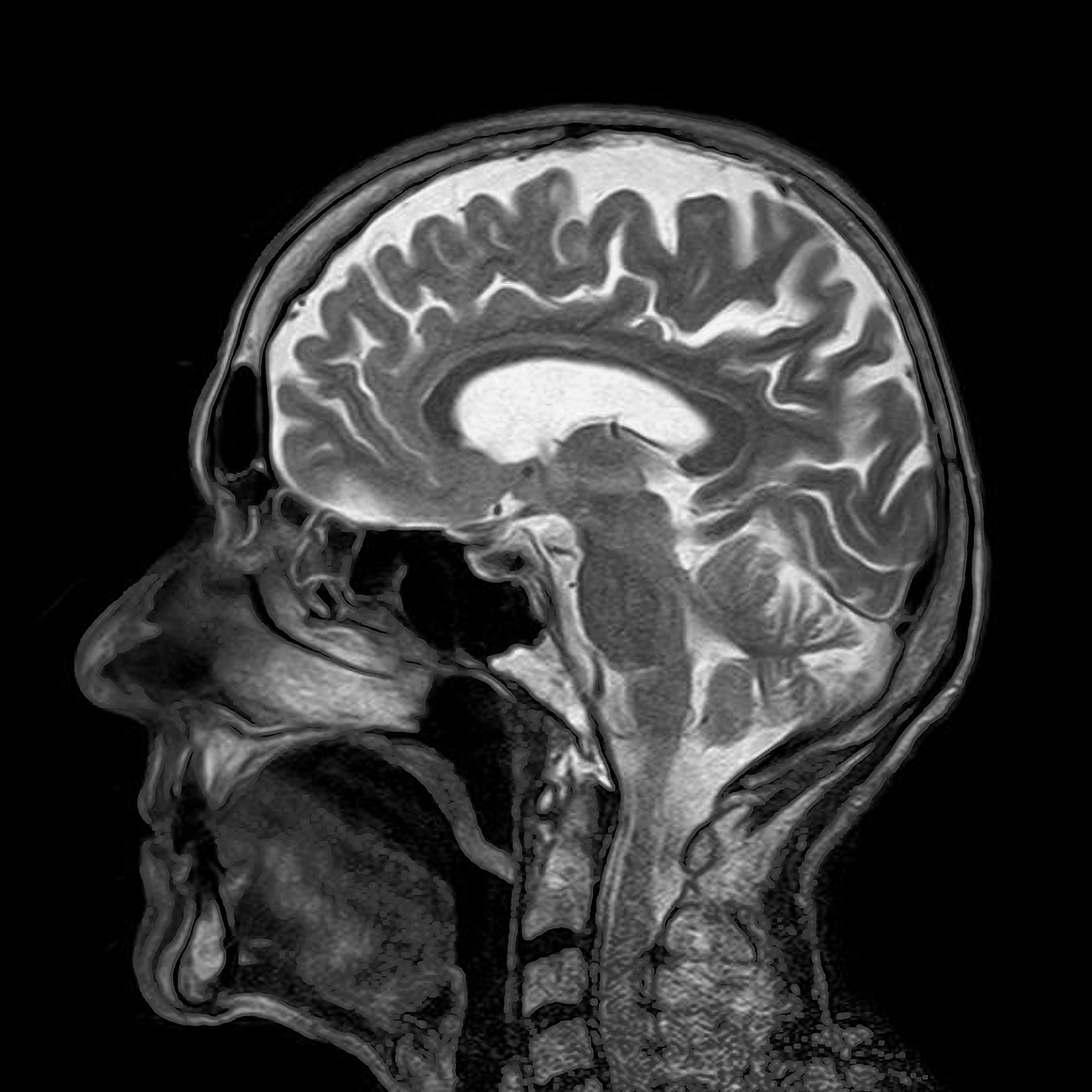
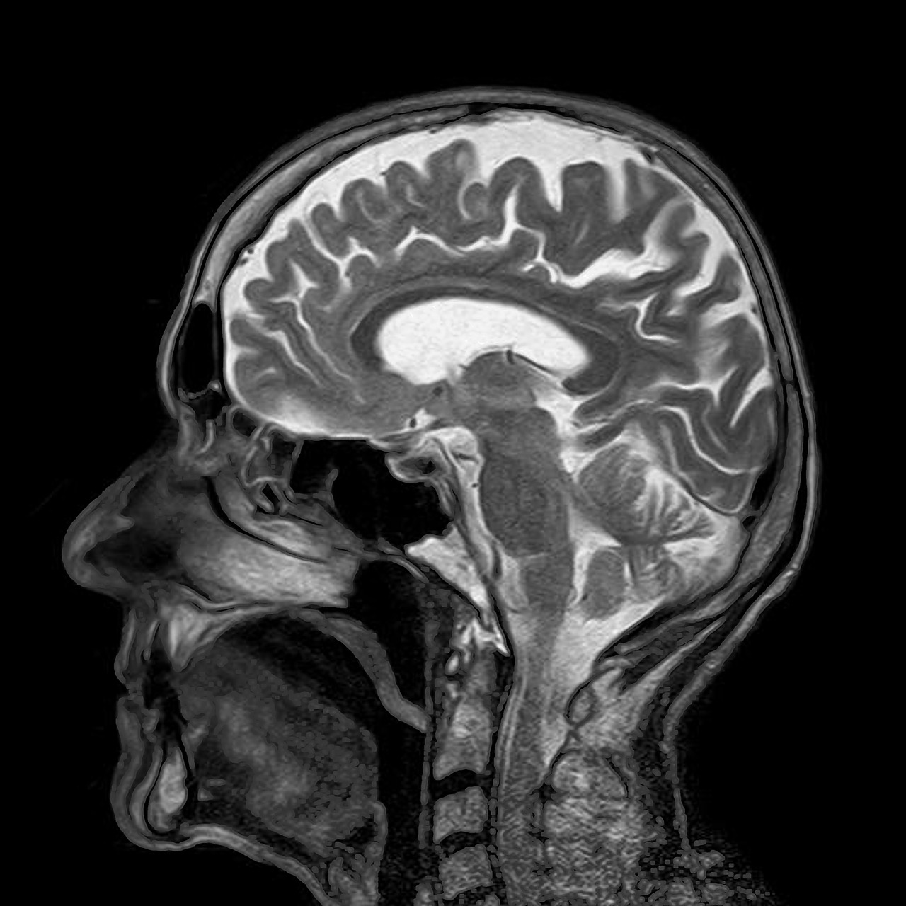
2. 자기공명영상(Magnetic resonance imaging : MRI)
자기공명영상(MRI)은 자기장 사용으로 해상도가 컴퓨터단층촬영(CT)보다 높아 뇌의 미세구조를 확인할 수 있다. 알츠하이머병의 국소적인 뇌 위축, 뇌혈관 질환 등에서 활용할 수 있다. 그러나 촬영 시간이 30분 정도로 길고 비용이 CT보다 비싸다. MRI 촬영 비용은 병원 규모, 건강보험 급여 적용 등에 따라 다르며 약 20만 원~80만 원 정도이다. 자기장을 사용하기에 몸속에 금속 물질이 있을 경우 촬영 가능 여부를 확인하여야 한다. 통 안에서 움직임 없이 20~40분 촬영해야 하므로 폐소공포증이 있을 경우 촬영이 어려울 수 있다. 치매 진행속도가 빠른 경우 감염, 독성질환 등 여러 질환을 감별하기 위해 조영제를 사용할 수 있다. MRI는 T1강조영상, T2강조영상, T2기울기에코영상, 확산강조영상, 기능자기공명영상 등 다양한 기법이 있다.
3. 확산텐서영상 (Diffusion-tensor imaging : DTI)
확산텐서영상(DTI)은 뇌내 백질의 미세구조를 확인하는 검사 방법이다. 조직 내 물분자 확산 방향을 확인하는 영상으로 백질의 신경다발 연결 분석에 활용된다.
4. 양전자방출단층촬영(Positron emission tomography : PET)
양전자방출단층촬영(PET)은 방사선 동위원소를 이용하여 뇌 혈류량을 측정한다. 측정을 통해 신경세포가 활발히 활동하는지 기능상태를 확인할 수 있다. FDG-PET은 포도당 대사 감소를 확인할 수 있다. 아밀로이드 PET은 베타 아밀로이드 축적을 확인하여 알츠하이머병을 진단할 수 있다. 그러나 아밀로이드 축적이 있다고 해서 모두 알츠하이머병으로 볼 수는 없다. 신경염증 PET은 알츠하이머병, 파킨슨병 등의 퇴행성 뇌질환에서 활용된다. PET검사 비용은 60만 원~120만 원 정도 고가의 비용이 발생한다.
뇌영상 소견에 따른 치매 진단
알츠하이머병의 경우 초기에는 해마 부분의 부피 감소를 보인다. 뇌 중앙의 해마는 기억력을 담당하는 기관이다. 해마 위축은 치매가 진행되기 약 5년 전부터 서서히 시작되는 것으로 보고되고 있다. 치매가 진행되면서 점차 전두엽, 측두엽, 후두엽 뇌 위축, 뇌실 확대 등이 광범위하게 나타난다. 구조적 뇌영상검사(CT, MRI)에서 뇌 기능 저하 여부를 발견하기 어려운 초기에 PET으로 뇌기능 저하 여부를 발견할 수 있다. PET에서 전두엽, 두정엽, 후두엽 등에서 아밀로이드 PET 추적자 C-PIB 침착이 증가하는 것을 확인할 수 있다. 혈관성치매는 뇌혈관질환이나 대뇌동맥질환으로 인한 허혈병변을 보인다. 치매와 뇌혈관질환이 혼합해서 발병할 가능성을 염두하고 살펴봐야 한다. 전두측두엽치매는 전두엽과 측두엽 앞쪽에 뇌위축이 국한되어 있다.


